Thùy nhộng tiểu não thai nhi là gì? Là một phần nằm giữa hai bán cầu tiểu não. Đây là cấu trúc nhỏ nhưng rất quan trọng khi đánh giá não thai trên siêu âm. Khi phiếu siêu âm ghi nghi ngờ bất thường thùy nhộng, nhiều gia đình lo lắng ngay. Thực tế, không phải mọi trường hợp đều là dị tật nặng. Vấn đề cốt lõi là phải đánh giá đúng mặt cắt, đúng tuổi thai và đúng bối cảnh của toàn bộ não thai. Các hướng dẫn của ISUOG nhấn mạnh rằng khảo sát thần kinh thai chuyên sâu cần dùng thêm các mặt cắt đứng dọc giữa. Và MRI thai có thể hữu ích khi siêu âm còn nghi ngờ.
Thùy nhộng tiểu não thai nhi là gì?
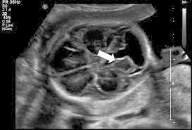
Thùy nhộng tiểu não thai nhi là gì? Chính là phần mô tiểu não nằm ở đường giữa, nối hai bán cầu tiểu não. Trên siêu âm, cấu trúc này thuộc vùng hố sau, nằm phía sau thân não và liên quan chặt với não thất IV. Williams Obstetrics mô tả ở mặt cắt xuyên tiểu não có thể thấy hai bán cầu tiểu não. Thùy nhộng và não thất IV nằm phía trước thùy nhộng.
Về chức năng, thùy nhộng tham gia điều hòa phối hợp vận động. Tư thế và một phần phát triển thần kinh sau sinh. Vì vậy, khi cấu trúc này bất thường, bác sĩ không chỉ nhìn riêng một hình ảnh mà phải đánh giá cả hệ thần kinh trung ương, hình thái hố sau và các cơ quan khác. ISUOG coi mặt cắt đứng dọc giữa là chìa khóa để đánh giá tốt vùng đường giữa, trung não và hố sau.
Vì sao thùy nhộng tiểu não thai nhi dễ bị nghi ngờ bất thường trên siêu âm
Lý do thường gặp nhất là đánh giá quá sớm hoặc chưa lấy đúng mặt cắt. Với các bất thường vùng hố sau, thời điểm khảo sát có ý nghĩa lớn. Tài liệu chuyên ngành nhấn mạnh rằng chẩn đoán thiểu sản thùy nhộng không nên đặt ra trước 18–20 tuần vì giai đoạn sớm rất dễ dương tính giả.
Ngoài ra, mặt cắt ngang đơn thuần thường chưa đủ. ISUOG khuyến nghị khi nghi ngờ bệnh lý thần kinh trung ương cần làm siêu âm thần kinh thai chuyên sâu. Bổ sung mặt cắt vành và đặc biệt là mặt cắt đứng dọc giữa. Đây là điểm rất quan trọng vì nhiều trường hợp chỉ thấy thùy nhộng có vẻ xoay lên trên. Nhưng thực ra vẫn là cấu trúc bình thường hoặc là nang túi Blake.

Siêu âm đánh giá thùy nhộng tiểu não thai nhi như thế nào
Mặt cắt cơ bản cần có
Ở siêu âm hình thái thường quy, bác sĩ sẽ khảo sát mặt cắt xuyên tiểu não để nhìn tiểu não và bể lớn. Theo Williams, bể lớn trong tam cá nguyệt hai thường đo từ 2 đến 10 mm. Nếu lớn hơn, cần nghĩ đến các chẩn đoán phân biệt như bất thường thùy nhộng, nang hố sau hoặc mega cisterna magna.
Mặt cắt đứng dọc giữa quan trọng ra sao
Đây là mặt cắt then chốt để nhìn rõ thùy nhộng, não thất IV, thân não và lều tiểu não. ISUOG xem mặt cắt này là phần rất quan trọng của khảo sát thần kinh thai chuyên sâu. Tài liệu chuyên ngành cũng cho thấy việc đánh giá hình dạng não thất IV. Góc giữa thân não và thùy nhộng, cũng như mức nâng của lều tiểu não giúp phân biệt các nhóm bất thường hố sau.
Khi nào cần MRI thai
ACOG nêu rõ siêu âm và MRI là các kỹ thuật hình ảnh được lựa chọn trong thai kỳ khi cần chẩn đoán thêm. Và MRI có thể giúp làm rõ các bất thường não thai khi siêu âm còn chưa chắc chắn. RCOG cũng ghi nhận siêu âm là nền tảng, còn MRI có thể bổ sung trong đánh giá thần kinh thai.
Những bất thường thường liên quan đến thùy nhộng tiểu não thai nhi
Dandy-Walker malformation
Đây là nhóm bất thường hố sau quan trọng nhất cần loại trừ. FMF mô tả hình ảnh điển hình gồm giãn nang não thất IV lan ra hố sau và thiểu sản hoặc bất sản thùy nhộng. ISUOG cũng mô tả Dandy-Walker là tình trạng bể lớn to, thùy nhộng thiểu sản hoặc không có, xoay lên trên, kèm lều tiểu não bị đẩy cao.
Điểm quan trọng là không nên chẩn đoán Dandy-Walker chỉ vì thấy thùy nhộng xoay lên. Sách Fetal Medicine nhấn mạnh rằng chẩn đoán không nên đặt ra nếu thùy nhộng còn hình thái bình thường. Chỉ xoay nhẹ và lều tiểu não không bị nâng cao. Việc chẩn đoán quá mức trước 18 tuần là lỗi khá thường gặp.
Thiểu sản thùy nhộng
Thiểu sản thùy nhộng là tình trạng phần dưới của thùy nhộng phát triển không đầy đủ. Đây là chẩn đoán khó. Tài liệu chuyên ngành trong file đính kèm ghi nhận tỷ lệ dương tính giả trước sinh không thấp, tới 32,4% trong một số báo cáo. Vì vậy, nếu chỉ có một kết luận nghi ngờ ở tuổi thai sớm, thường cần siêu âm lại chuyên sâu và nhiều trường hợp cần MRI thai.
Nếu sau sinh xác nhận thiểu sản thùy nhộng đơn độc, tiên lượng có thể tốt. Sách Fetal Medicine cho biết các trường hợp đơn độc đã được xác nhận sau sinh nhìn chung có phát triển thần kinh dài hạn thuận lợi hơn so với nhóm có dị tật phối hợp.
Nang túi Blake
Đây là tình trạng hay bị nhầm với bất thường thùy nhộng. FMF mô tả nang túi Blake là sự giãn của não thất IV vào bể lớn, tạo hình ảnh dạng nang ở hố sau. Thùy nhộng có kích thước bình thường, chỉ xoay nhẹ hoặc vừa. Còn bể lớn vẫn bình thường. Hơn 50% trường hợp có thể tự hết khi hiện tượng mở thông diễn ra muộn hơn, thường vào khoảng 24–26 tuần.
Điểm thực hành rất quan trọng là nếu thùy nhộng bình thường về hình thái và kích thước. Chỉ hơi xoay lên trên, bác sĩ phải nghĩ nhiều đến nang túi Blake hơn là thiểu sản thùy nhộng hay Dandy-Walker.
Mega cisterna magna
Mega cisterna magna là khi bể lớn lớn hơn 10 mm nhưng thùy nhộng vẫn bình thường. FMF nêu rằng đây thường là phát hiện đơn độc và có tiên lượng thuận lợi nếu thật sự không kèm bất thường khác. Tuy vậy, vẫn cần siêu âm thần kinh thai kỹ và cân nhắc MRI nếu hình ảnh chưa thật rõ.
Khi nào kết quả nghi ngờ thùy nhộng tiểu não thai nhi đáng lo hơn
Nguy cơ cao hơn khi bất thường thùy nhộng đi kèm một trong các dấu hiệu sau. Giãn não thất, bất thường thể chai, bất thường tim, dị tật cơ quan khác. Chậm tăng trưởng, nhiễm trùng bào thai. Hoặc xét nghiệm di truyền bất thường. ISUOG và FMF đều nhấn mạnh rằng bất thường hố sau cần được đặt trong bối cảnh khảo sát toàn diện não thai và toàn thai.
Ngược lại, nếu chỉ là nghi ngờ đơn độc, tuổi thai còn sớm và hình ảnh chưa đạt chuẩn. Kết luận ban đầu có thể thay đổi sau lần siêu âm lại. Tài liệu trong file đính kèm cho thấy ở nhóm thiểu sản thùy nhộng. Kết cục phụ thuộc nhiều vào dị tật phối hợp hơn là chỉ riêng hình ảnh thùy nhộng.
Sau khi phát hiện nghi ngờ bất thường thùy nhộng tiểu não thai nhi cần làm gì
Trước hết, cần đọc lại toàn bộ phiếu siêu âm để biết bác sĩ đang nghi điều gì. Nghi Dandy-Walker, nghi nang túi Blake, nghi thiểu sản thùy nhộng. Và nghi bể lớn rộng không phải là một chẩn đoán giống nhau. Mỗi tình huống có mức độ nặng và cách theo dõi khác nhau.
Bước tiếp theo là làm siêu âm thần kinh thai chuyên sâu ở cơ sở có kinh nghiệm về não thai. RCOG nhấn mạnh rằng khi phát hiện nghi ngờ bất thường thai. Nên có đường chuyển tuyến rõ ràng và hỗ trợ bởi nhóm có chuyên môn bào thai. ACOG cũng đề cao mô hình trung tâm chăm sóc bào thai khi cần đánh giá sâu hơn.
Nếu hình ảnh vẫn chưa chắc chắn, MRI thai thường được cân nhắc. Nhất là sau 24 tuần khi khả năng bổ sung thông tin tốt hơn. Dữ liệu trong Williams và file đính kèm cho thấy MRI có thể phát hiện thêm bất thường thần kinh trung ương và thay đổi tiên lượng hoặc xử trí ở một tỷ lệ đáng kể trường hợp.
Ngoài hình ảnh học, có thể cần tư vấn di truyền và cân nhắc xét nghiệm di truyền trước sinh nếu có dị tật phối hợp. ACOG hiện vẫn coi microarray và các kỹ thuật di truyền tiên tiến là công cụ quan trọng trong bối cảnh thai có bất thường cấu trúc.
Thùy nhộng tiểu não thai nhi bất thường có ảnh hưởng sau sinh không
Câu trả lời là có thể có, nhưng mức độ rất khác nhau giữa các bệnh. Dandy-Walker thật sự thường có tiên lượng dè dặt hơn, nhất là khi kèm não úng thủy. Bất thường thần kinh trung ương khác hoặc bất thường di truyền.
Ngược lại, nang túi Blake đơn độc hoặc mega cisterna magna đơn độc thường có kết quả tốt hơn. Với thiểu sản thùy nhộng đơn độc, tiên lượng có thể khá tốt. Nhưng chỉ nên nói điều đó sau khi đã đánh giá đủ bằng siêu âm chuẩn, có thể kèm MRI, và loại trừ được các bất thường phối hợp.

Khi nào nên đi khám sớm
Bạn nên đi khám sớm khi có một trong các tình huống sau:
- Phiếu siêu âm ghi nghi ngờ bất thường hố sau, bất thường thùy nhộng, Dandy-Walker, nang túi Blake hoặc bể lớn rộng.
- Kết quả siêu âm được thực hiện trước 18–20 tuần nhưng đã kết luận thiểu sản hay bất sản thùy nhộng. Đây là mốc dễ nhầm lẫn.
- Có kèm giãn não thất, bất thường tim thai, bất thường mặt, bất thường thể chai hoặc đa dị tật.
- Gia đình đã làm NIPT hoặc xét nghiệm khác có kết quả nguy cơ cao. Hoặc bác sĩ đề nghị tư vấn di truyền.
Khi đi khám, nên mang theo toàn bộ hồ sơ cũ: phiếu siêu âm, hình ảnh in, file ảnh nếu có, kết quả xét nghiệm sàng lọc và xét nghiệm di truyền. Việc đọc lại diễn tiến theo thời gian rất quan trọng, vì nhiều bất thường của hố sau chỉ có thể kết luận chắc hơn sau lần kiểm tra kế tiếp.
Kết luận
Thùy nhộng tiểu não thai nhi là cấu trúc nhỏ nhưng có giá trị lớn trong đánh giá não thai. Khi có nghi ngờ bất thường, điều quan trọng nhất không phải là hoảng sợ. Mà là xác định lại bằng siêu âm thần kinh thai đúng kỹ thuật, đúng tuổi thai và khi cần thì bổ sung MRI. Không ít trường hợp ban đầu bị nghi bất thường nhưng sau đó được xác định là nang túi Blake hoặc biến thể lành tính hơn. Ngược lại, cũng có những trường hợp cần đánh giá rất kỹ vì liên quan đến bất thường thần kinh trung ương hoặc di truyền.
Tìm hiểu thêm tại đây

