Hội chứng Edwards (trisomy 18) là rối loạn di truyền do thừa một nhiễm sắc thể số 18. Bài này giúp mẹ bầu hiểu rõ: hội chứng Edwards là gì, dấu hiệu, cách chẩn đoán và hướng chăm sóc.
Hội chứng Edwards là gì?
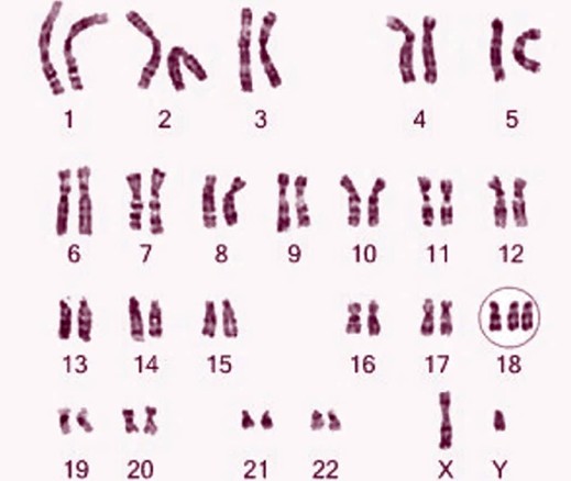
Hội chứng Edwards là tình trạng thai nhi có ba bản sao của nhiễm sắc thể 18. Dạng thường gặp nhất là trisomy 18 “tự do”. Ít gặp hơn là chuyển đoạn hoặc thể khảm.
Nguyên nhân
Lỗi “không phân ly” khi tạo trứng hoặc tinh trùng. Nguy cơ tăng theo tuổi mẹ. Thể khảm do sai sót ở giai đoạn phân bào sau thụ tinh.
Dấu hiệu gợi ý trên siêu âm
- Thai nhỏ hơn tuổi (IUGR).
- Bàn tay nắm chặt, ngón 2 chồng lên ngón 3, ngón 5 chồng ngón 4.
- Gai nhau nang đám rối mạch mạc có thể kèm theo.
- Tim bẩm sinh: thông liên thất, còn ống động mạch khá phổ biến.
- Mặt và sọ: chẩm nhô, hàm nhỏ, tai thấp.
- Hệ tiêu hóa – tiết niệu: thoát vị rốn, bất thường thận.
Không phải thai nào cũng có đủ các dấu hiệu. Bác sĩ sẽ đánh giá tổng hợp.

Nguy cơ và mức độ nặng
Hội chứng Edwards gây ảnh hưởng nhiều cơ quan. Nguy cơ sảy thai tự nhiên cao. Trẻ sinh sống thường cần hỗ trợ y tế đặc biệt. Thể khảm có thể nhẹ hơn, nhưng vẫn cần theo dõi sát.
Khi nào cần đi khám ngay?
- Kết quả sàng lọc trước sinh báo nguy cơ cao trisomy 18.
- Siêu âm thấy nhiều bất thường cấu trúc.
- Mẹ bầu có thai máy giảm, ra máu, đau bụng.
Đến cơ sở sản khoa uy tín để được tư vấn di truyền và kiểm tra đầy đủ.
Chẩn đoán
- Sàng lọc: double test, triple test, NIPT (cell‐free DNA). Đây là xét nghiệm không chẩn đoán, chỉ ước tính nguy cơ.
- Chẩn đoán xác định:
- Sinh thiết gai nhau (CVS) từ tuần 11–13.
- Chọc ối từ tuần 15 trở đi.
- Phân tích nhiễm sắc thể bằng karyotype hoặc microarray.
Bác sĩ sẽ tư vấn ưu, nhược điểm, rủi ro thủ thuật và thời điểm phù hợp.
Theo dõi thai kỳ
Siêu âm hình thái chi tiết ở quý 2–3.
Đánh giá tim thai bẩm sinh.
Theo dõi tăng trưởng, ối, Doppler.
Trao đổi kế hoạch sinh và cấp cứu sau sinh với đội NICU.
Hướng xử trí và chăm sóc
Tư vấn di truyền cá nhân hóa cho gia đình.
Lập kế hoạch sinh: nơi có NICU, tim mạch nhi, phẫu thuật nhi.
Sau sinh, đánh giá mức độ tổn thương cơ quan.
Chăm sóc hỗ trợ: hô hấp, dinh dưỡng, điều trị tim, tiêu hóa, tiết niệu.
Tôn trọng lựa chọn của gia đình giữa can thiệp tích cực và chăm sóc giảm nhẹ, dựa trên lợi ích tốt nhất cho trẻ.
Tiên lượng
Tỷ lệ sống sau sinh thấp do tổn thương đa cơ quan. Một số trẻ, đặc biệt thể khảm, có thể sống lâu hơn nhưng cần hỗ trợ y tế lâu dài. Gia đình cần được hỗ trợ tâm lý – xã hội trong suốt hành trình.
Phòng ngừa và chuẩn bị cho lần mang thai sau
Không có cách phòng ngừa tuyệt đối. Tuy vậy, mẹ có thể:
- Khám tiền thai và bổ sung acid folic trước khi mang thai.
- Thực hiện sàng lọc và siêu âm đúng mốc.
- Nếu từng có thai mắc trisomy 18, nên tư vấn di truyền trước khi có thai lại.
Kết luận
Bạn vừa hiểu “hội chứng Edwards là gì”, cách nhận biết, chẩn đoán và chăm sóc. Điều quan trọng là đồng hành cùng bác sĩ sản – nhi – di truyền. Mỗi thai kỳ là một câu chuyện riêng. Chúng tôi luôn tôn trọng lựa chọn và hỗ trợ gia đình bằng thông tin đúng và nhân ái.
Tham khảo thêm bài viết tại đây
Ấn vào link để nhận bản thảo quyển sách “Thai kỳ khoẻ manh” dài hơn 200 trang do bác sỹ Tú biên soạn ngay các mẹ nhé

