Giãn não thất và não úng thủy không phải lúc nào cũng là một. Trên thực tế, hai thuật ngữ này có liên quan nhưng không hoàn toàn giống nhau. Trong siêu âm thai, nhiều gia đình nghe một trong hai từ này và lập tức rất lo. Điều quan trọng là phải hiểu bác sĩ đang mô tả một dấu hiệu hình ảnh hay đang nói đến một quá trình bệnh lý. Khi phân biệt đúng, việc tư vấn, theo dõi và tiên lượng sẽ rõ ràng hơn.
Giãn não thất là gì?
Giãn não thất là tình trạng não thất bên rộng hơn bình thường trên siêu âm. Trong thực hành thai nhi, bác sĩ thường đo ở tâm nhĩ não thất bên. Mốc bình thường là dưới 10 mm. Khi từ 10 mm trở lên, thai được xếp vào nhóm giãn não thất.
Giãn não thất là một mô tả hình ảnh. Nó cho biết khoang chứa dịch trong não đang rộng ra. Tuy nhiên, mô tả này chưa tự trả lời nguyên nhân là gì. Có trường hợp chỉ giãn nhẹ và đơn độc. Cũng có trường hợp đi kèm bất thường cấu trúc, di truyền hoặc nhiễm trùng.
Não úng thủy là gì?
Não úng thủy là tình trạng giãn hệ não thất do rối loạn lưu thông hoặc hấp thu dịch não tủy, thường kèm tăng áp lực trong hệ não thất. Nói cách khác, đây không chỉ là hình ảnh rộng ra. Đây là một quá trình bệnh lý có cơ chế phía sau. Trong bào thai, nguyên nhân có thể liên quan tắc nghẽn dòng chảy dịch não tủy, đặc biệt ở cống Sylvius, hoặc các bất thường cấu trúc khác.
Trong siêu âm thai, không thể đo trực tiếp áp lực não thất. Vì vậy, trên thực tế lâm sàng, hai thuật ngữ đôi khi bị dùng thay nhau. Dù vậy, nhiều tài liệu vẫn khuyến nghị gọi là giãn não thất khi đường kính 10–15 mm, và dùng não úng thủy khi giãn nặng trên 15 mm hoặc có bằng chứng gợi ý tắc nghẽn.
Giãn não thất và não úng thủy khác nhau ở điểm nào?
Khác nhau đầu tiên là ở bản chất. Giãn não thất là dấu hiệu trên siêu âm. Nó chỉ cho thấy não thất đang rộng ra. Não úng thủy là một bệnh cảnh sinh lý bệnh. Tình trạng này thường liên quan rối loạn lưu thông hoặc hấp thu dịch não tủy.
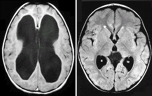
Khác nhau tiếp theo là ở mức độ. Giãn não thất thường chia làm ba nhóm. Mức nhẹ là 10 đến 12 mm. Mức vừa là 13 đến 15 mm. Mức nặng là trên 15 mm. Khi vượt 15 mm, nguy cơ bệnh lý nặng tăng rõ.
Khác nhau nữa là ở ý nghĩa lâm sàng. Giãn não thất nhẹ đơn độc có thể vẫn có tiên lượng tốt. Nhiều thai chỉ cần theo dõi chặt chẽ. Não úng thủy thường gợi ý nguy cơ cao hơn. Thai có thể dễ tiến triển nặng hơn. Nguy cơ bất thường thần kinh cũng cao hơn. Một số trường hợp còn cần can thiệp sau sinh. Vì vậy, hai thuật ngữ này không nên hiểu giống nhau.
Vì sao siêu âm thai thường ghi giãn não thất hơn là não úng thủy?
Lý do chính là siêu âm trước sinh đánh giá hình thái tốt, nhưng không đo được áp lực nội sọ của thai. Bác sĩ nhìn thấy não thất rộng ra, nhưng không phải lúc nào cũng khẳng định được có tăng áp lực hay không. Vì vậy, thuật ngữ giãn não thất an toàn và chính xác hơn ở giai đoạn đầu.
Ngoài ra, có những trường hợp giãn 10–15 mm nhưng sau theo dõi không tiến triển. Một số thai còn ổn định hoặc cải thiện về sau. Nếu gọi tất cả là não úng thủy ngay từ đầu sẽ dễ làm gia đình hiểu sai mức độ.

Cách đo nào giúp phân biệt đúng hơn?
Đo đúng là điều rất quan trọng. Não thất bên phải được đo tại tâm nhĩ. Mặt cắt phải là mặt cắt xuyên não thất chuẩn. Thước đo đặt từ mép trong đến mép trong. Đường đo phải vuông góc với trục não thất. Chỉ cần sai mặt cắt hoặc sai vị trí, kết quả có thể chênh đáng kể.
Nếu thai có kết quả nằm sát ngưỡng 10 mm, 12 mm hoặc 15 mm, việc đo lại ở cơ sở có kinh nghiệm rất quan trọng. Một phép đo đúng không chỉ giúp gọi tên đúng. Nó còn quyết định hướng tư vấn tiếp theo. Đây là lý do nhiều trường hợp cần siêu âm thần kinh thai hoặc siêu âm hình thái chi tiết lại.
Khi nào giãn não thất khiến bác sĩ nghĩ nhiều đến não úng thủy?
Bác sĩ sẽ nghĩ nhiều hơn đến não úng thủy khi não thất giãn nặng, đặc biệt trên 15 mm. Mức độ này làm tăng khả năng có tắc nghẽn lưu thông dịch não tủy hoặc tổn thương cấu trúc đáng kể. Ngoài ra, nếu giãn tăng dần qua các lần siêu âm, nguy cơ bệnh lý nền cũng cao hơn.
Một số dấu hiệu gợi ý khác gồm đầu to, hình ảnh bất thường đường giữa, hẹp cống não, bất sản thể chai hoặc các dị tật não đi kèm. Khi đó, câu chuyện không còn chỉ là số mm. Nó trở thành một vấn đề thần kinh thai cần đánh giá toàn diện.
Nếu kết quả ghi giãn não thất, thai phụ cần làm gì tiếp theo?
Siêu âm chi tiết lại là bước đầu tiên. Mục tiêu là xác nhận phép đo thật chính xác. Đồng thời, bác sĩ sẽ tìm bất thường kèm theo. Cần đánh giá kỹ não, cột sống và các cơ quan khác. Nhiều ca ban đầu tưởng đơn độc. Nhưng siêu âm kỹ lại phát hiện thêm dấu hiệu liên quan.
Xét nghiệm di truyền cũng rất quan trọng. Thường sẽ tư vấn chọc ối và làm microarray. Lý do là sàng lọc nguy cơ thấp chưa loại trừ hết bất thường. Một số lệch bội hoặc vi mất đoạn vẫn có thể bị bỏ sót.
Xét nghiệm nhiễm trùng cần nghĩ đến sớm. Hai tác nhân hay gặp là CMV và toxoplasma. Giãn não thất đôi khi là dấu hiệu đầu tiên. Điều này đúng cả khi không có tiền sử phơi nhiễm rõ.
MRI thai nhi được cân nhắc trong một số trường hợp. MRI không thay thế siêu âm. MRI giúp nhìn rõ hơn thể chai, vỏ não và tổn thương khó đánh giá. Giá trị cao hơn khi siêu âm chi tiết vẫn chưa trả lời đủ.
Tiên lượng của giãn não thất và não úng thủy có khác nhau không?
Có. Với giãn não thất nhẹ đơn độc 10–12 mm, sau đánh giá đầy đủ, tiên lượng thường thuận lợi và phần lớn trẻ có khả năng phát triển bình thường. Với giãn não thất vừa 13–15 mm, tiên lượng vẫn thường tốt, nhưng nguy cơ chậm phát triển thần kinh cao hơn nhóm nhẹ.
Ngược lại, khi giãn não thất nặng trên 15 mm hoặc có bệnh lý nền rõ, nguy cơ bất thường thần kinh tăng lên. Lúc đó, câu hỏi không chỉ là giãn bao nhiêu mm. Điều quan trọng hơn là có bất thường phối hợp hay không, có tiến triển theo thời gian hay không, và nguyên nhân nền là gì.
Cách sinh có thay đổi khi thai bị giãn não thất hay não úng thủy không?
Nhìn chung, thời điểm sinh và cách sinh vẫn dựa trên chỉ định sản khoa chuẩn. Giãn não thất đơn thuần không phải là lý do để sinh non theo kế hoạch. Nếu chu vi đầu thai bình thường, thai vẫn có thể sinh đường âm đạo khi không có chống chỉ định sản khoa khác.
Khi nào nên đi khám lại sớm?
Thai phụ nên khám lại sớm nếu phiếu siêu âm ghi não thất từ 10 mm trở lên. Cũng nên khám lại nếu kết quả nằm sát ngưỡng, cách đo chưa rõ hoặc có ghi kèm nghi ngờ bất thường não. Nếu não thất tăng nhanh, có thêm đầu to hoặc bác sĩ nghi tắc nghẽn, việc đánh giá lại càng cần sớm hơn.
Những trường hợp này thường cần đọc lại toàn bộ hồ sơ, đo lại đúng chuẩn và xem xét nguyên nhân theo từng bước. Mục tiêu là phân biệt rõ đây là giãn não thất đơn thuần hay một bệnh cảnh gần với não úng thủy, từ đó lập kế hoạch theo dõi phù hợp.
Kết luận
Giãn não thất và não úng thủy có liên quan, nhưng không hoàn toàn giống nhau. Giãn não thất là mô tả hình ảnh. Não úng thủy là một quá trình bệnh lý, thường gợi ý nặng hơn. Trong thai kỳ, bác sĩ hay dùng thuật ngữ giãn não thất trước vì đây là điều có thể đo và xác nhận trực tiếp trên siêu âm. Khi kết quả bất thường, điều cần làm không phải là hoảng sợ vì một từ trên phiếu. Điều quan trọng là đo lại cho đúng, đánh giá có hệ thống và theo dõi diễn tiến theo thời gian. Nếu thai phụ đang cầm kết quả siêu âm chưa rõ ràng, hoặc đã được báo giãn não thất nhưng chưa được giải thích đầy đủ, nên đi khám lại tại cơ sở có kinh nghiệm về siêu âm thần kinh thai để được tư vấn chính xác hơn.
Tìm hiểu thêm tại đây

