Chị T. đi siêu âm định kỳ tại phòng khám Dr Tú y học bào thai như mọi lần. Nhưng hôm nay bác sĩ nhìn kỹ hơn vào màn hình và hỏi thêm vài câu, chị bắt đầu thấy lo. Sau vài phút im lặng, bác sĩ nói: “Thai có dấu hiệu phù thai.” Phù thai là sao ? Chị dường không suy nghĩ được gì nữa, hoàn toàn trống rỗng.
Nhưng sau khi được bác sĩ tư vấn đầy đủ về mọi khía cạnh đã giúp chị hiểu rằng: phù thai không phải là một bệnh riêng lẻ, mà là một dấu hiệu cảnh báo cơ thể thai nhi đang gặp vấn đề về cân bằng dịch. Điều quan trọng nhất là tìm nguyên nhân và đánh giá mức độ, chứ không phải là hoảng sợ.
Phù thai là sao?
Phù thai (Hydrops fetalis) là tình trạng ứ dịch bất thường trong cơ thể thai nhi, khi chất lỏng tích tụ ở ít nhất hai khoang khác nhau như:
- Ổ bụng (cổ trướng)
- Khoang màng phổi (dịch quanh phổi)
- Khoang màng tim (dịch quanh tim)
- Phù da toàn thân
Nói dễ hiểu, cơ thể thai nhi giống như một hệ thống bị rối loạn, khiến nước giữ lại quá nhiều thay vì lưu thông bình thường. Phù thai không phải một bệnh độc lập, mà là dấu hiệu cuối của nhiều rối loạn khác nhau.

Vì sao thai nhi có thể bị phù thai?
Phù thai xảy ra khi cơ thể thai không kiểm soát được lượng dịch giữa lòng mạch và mô. Các nhóm nguyên nhân thường gặp gồm:
1. Bất thường nhiễm sắc thể
- Turner (45,X)
- Down (Trisomy 21)
- Trisomy 13, 18
Đây là nhóm nguyên nhân phổ biến, đặc biệt khi phù xuất hiện sớm.
2. Bệnh tim bẩm sinh
Tim thai hoạt động không hiệu quả có thể gây suy tim bào thai, dẫn đến ứ dịch.
3. Thiếu máu thai nặng
Do bất đồng nhóm máu hoặc nhiễm virus Parvovirus B19, khiến tim phải làm việc quá sức.
4. Nhiễm trùng bào thai
CMV, toxoplasma, giang mai… có thể gây viêm và rối loạn tuần hoàn.
5. Rối loạn hệ bạch huyết
Các nang bạch huyết vùng cổ làm cản trở dẫn lưu dịch.
6. Thai đôi biến chứng
Hội chứng truyền máu song thai có thể khiến một thai bị quá tải dịch.
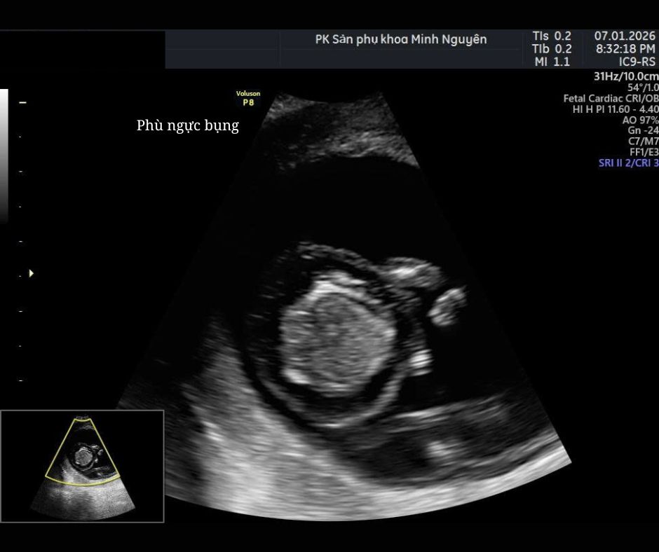
Dấu hiệu phù thai trên siêu âm
Siêu âm là công cụ chính để phát hiện phù thai. Bác sĩ có thể ghi nhận:
- Cổ trướng: dịch trong ổ bụng thai
- Tràn dịch màng phổi: dịch quanh phổi
- Tràn dịch màng tim: lớp dịch quanh tim dày bất thường
- Phù da: lớp da dày, sưng toàn thân
- Bánh nhau dày
- Nước ối nhiều
Chẩn đoán phù thai khi có từ hai dấu hiệu trở lên.

Phù thai có nguy hiểm không?
Phù thai là dấu hiệu nghiêm trọng, nhưng mức độ nguy hiểm phụ thuộc vào:
- Nguyên nhân nền
- Tuổi thai khi phát hiện
- Có dị tật phối hợp hay không
- Diễn tiến qua các lần siêu âm
Một số trường hợp do nhiễm virus hoặc rối loạn bạch huyết nhẹ có thể biến mất tự nhiên. Ngược lại, nếu liên quan bất thường di truyền nặng hoặc dị tật tim phức tạp, tiên lượng thường xấu hơn.
Khi phát hiện phù thai cần làm gì?
Hướng tiếp cận thường theo từng bước:
1. Siêu âm chuyên sâu
Đánh giá tim thai, hình thái, bánh nhau và mức độ ứ dịch.
2. Xét nghiệm di truyền
NIPT, chọc ối hoặc sinh thiết gai nhau khi nghi ngờ bất thường nhiễm sắc thể.
3. Xét nghiệm nhiễm trùng
Tầm soát Parvovirus B19, CMV, toxoplasma, giang mai.
4. Theo dõi Doppler
Đánh giá thiếu máu thai qua động mạch não giữa.
5. Hội chẩn chuyên khoa
Tim mạch nhi, di truyền, sản khoa nguy cơ cao.
Mục tiêu là tìm nguyên nhân có thể điều trị được càng sớm càng tốt.

Tiên lượng của thai nhi khi bị phù thai
- Nguyên nhân điều trị được: tiên lượng tốt hơn nếu can thiệp sớm.
- Bất thường nhiễm sắc thể nặng: tiên lượng kém.
- Xuất hiện rất sớm (<20 tuần): nguy cơ cao hơn.
- Không tìm được nguyên nhân: tiên lượng thay đổi tùy diễn tiến.
Tỷ lệ sống phụ thuộc lớn vào việc xác định đúng nguyên nhân và thời điểm can thiệp.
Kết luận
“Phù thai là sao” thực chất là câu hỏi về một dấu hiệu cảnh báo quan trọng trong siêu âm thai kỳ. Điều quan trọng nhất khi nghe đến phù thai là bình tĩnh theo dõi, làm xét nghiệm cần thiết và được tư vấn đầy đủ. Thông tin đúng và sự theo dõi hệ thống sẽ giúp gia đình đưa ra quyết định sáng suốt cho hành trình thai kỳ.
Bài viết này được chia sẻ dựa trên trải nghiệm và hơn 20 năm trực tiếp can thiệp bào thai của Ths. Bs Nguyễn Ngọc Tú.
Tìm hiểu thêm tại đây.
Ấn vào link để nhận bản thảo quyển sách “Thai kỳ khoẻ mạnh” dài hơn 200 trang do bác sỹ Tú biên soạn ngay các mẹ nhé

