Câu chuyện của chị N. khi nghe kết luận bất ngờ
Chị N. mang thai 21 tuần đến khám lại vì siêu âm ở nơi khác ghi: nghi đảo gốc động mạch. Chị rất hoang mang vì trước đó tim thai được ghi nhận đủ 4 buồng, không thông liên thất, không hở van. Chị hỏi: “Đảo gốc động mạch là gì? Sao tim nhìn vẫn bình thường mà lại nói là nặng?”
Thực tế, trong bệnh lý này, vấn đề không nằm ở 4 buồng tim mà nằm ở vị trí xuất phát của hai mạch máu lớn.
Đảo gốc động mạch là gì?
Đảo gốc động mạch là tên gọi khác của chuyển vị đại động mạch hoàn toàn, thường gặp nhất là thể d-TGA.
Trong dị tật này:
- Động mạch chủ xuất phát từ thất phải
- Động mạch phổi xuất phát từ thất trái
Hai đại động mạch không còn bắt chéo nhau như tim bình thường mà chạy song song.
Sự “đảo vị trí” này làm thay đổi hoàn toàn dòng máu sau khi trẻ sinh ra.
Cơ chế bệnh: Điều gì xảy ra sau sinh?
Ở tim bình thường:
- Thất phải bơm máu nghèo oxy lên phổi
- Thất trái bơm máu giàu oxy đi nuôi cơ thể
Khi bị đảo gốc động mạch:
- Máu nghèo oxy đi thẳng ra cơ thể
- Máu giàu oxy quay lại phổi
Hai vòng tuần hoàn tách biệt nhau.
Trong bụng mẹ, thai vẫn sống được vì còn lỗ bầu dục và ống động mạch giúp máu trộn lẫn. Sau sinh, khi ống động mạch đóng lại, trẻ có thể tím nặng và suy hô hấp nếu không được can thiệp.
Vì sao đảo gốc động mạch dễ bị bỏ sót trên siêu âm?

Ở nhiều cơ sở, siêu âm tim thai chỉ dừng ở mặt cắt 4 buồng. Tuy nhiên, trong đảo gốc động mạch, mặt cắt này thường gần như bình thường.
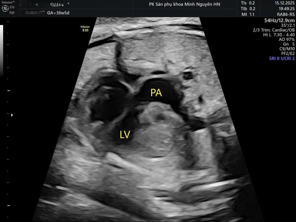
Dấu hiệu quan trọng nằm ở:
- Mặt cắt đường ra hai thất
- Mặt cắt ba mạch máu và khí quản
Bình thường hai đại động mạch bắt chéo nhau tạo hình chữ X.
Trong đảo gốc động mạch, hai mạch chạy song song tạo hình chữ I.
Vì vậy, khảo sát tầng đại động mạch là bắt buộc để phát hiện dị tật này.
Đảo gốc động mạch có liên quan di truyền không?
Phần lớn trường hợp là đơn độc và không liên quan bất thường nhiễm sắc thể.
Nếu siêu âm hình thái toàn thân không có dị tật phối hợp và sàng lọc trước sinh nguy cơ thấp, khả năng liên quan di truyền là thấp.
Trong trường hợp có bất thường kèm theo, bác sĩ có thể tư vấn chọc ối làm karyotype hoặc microarray để đánh giá thêm.
Sau khi chẩn đoán đảo gốc động mạch, cần chuẩn bị gì?
Điều quan trọng nhất là kế hoạch sinh tại cơ sở có:
- Hồi sức sơ sinh
- Tim mạch nhi
- Phẫu thuật tim bẩm sinh
Ngay sau sinh, trẻ thường được:
- Truyền Prostaglandin để giữ ống động mạch mở
- Nếu lỗ bầu dục hạn chế, thực hiện phá vách liên nhĩ bằng bóng
Sau đó, phẫu thuật chuyển gốc động mạch (Arterial Switch Operation) sẽ được thực hiện trong những tuần đầu đời để đưa hai mạch máu về đúng vị trí sinh lý.
Tiên lượng hiện nay

Với phẫu thuật chuyển gốc hiện đại, cấu trúc và chức năng tim có thể trở lại gần như bình thường.
Phần lớn trẻ sau mổ có thể:
- Phát triển vận động tốt
- Đi học bình thường
- Sinh hoạt như trẻ khỏe mạnh
Yếu tố quan trọng nhất là phát hiện trước sinh và chuẩn bị sinh đúng nơi.
Kết luận
Đảo gốc động mạch là gì? Đây là dị tật tim bẩm sinh trong đó hai đại động mạch bị đảo vị trí, làm hai vòng tuần hoàn tách biệt sau sinh.
Mặc dù là bệnh tim bẩm sinh nặng nếu không được can thiệp, nhưng với chẩn đoán trước sinh và phẫu thuật hiện đại, tiên lượng có thể rất tốt.
Siêu âm tim thai đầy đủ, đặc biệt khảo sát tầng đại động mạch, là chìa khóa giúp thay đổi hoàn toàn tương lai của em bé.
Tham khảo thêm bài viết khác tại đây.
Ấn vào link để nhận bản thảo quyển sách “Thai kỳ khoẻ manh” dài hơn 200 trang do bác sỹ Tú biên soạn ngay các mẹ nhé

