Câu chuyện của chị M: Khi tim 4 buồng bình thường nhưng vẫn có vấn đề
Chị M. mang thai 21 tuần đến khám lại vì siêu âm tuyến dưới nghi ngờ bất thường đường ra thất, theo dõi chuyển vị đại động mạch. Chị thắc mắc: “Em thấy tim con đủ 4 buồng, cân đối, không hở van. Vậy chuyển vị đại động mạch là gì mà lại nói là nặng?”
Đây là câu hỏi rất thường gặp. Trong bệnh lý này, vấn đề không nằm ở 4 buồng tim mà nằm ở vị trí của hai mạch máu lớn xuất phát từ tim.
Chuyển vị đại động mạch là gì?
Chuyển vị đại động mạch (Transposition of the Great Arteries – TGA) là dị tật tim bẩm sinh trong đó hai đại động mạch bị nối sai vị trí.
Cụ thể:
- Động mạch chủ xuất phát từ thất phải
- Động mạch phổi xuất phát từ thất trái
Ở tim bình thường, hai đại động mạch bắt chéo nhau tạo hình chữ X. Trong chuyển vị đại động mạch hoàn toàn (d-TGA), hai mạch này chạy song song tạo hình chữ I.
Sự “đảo gốc” này làm thay đổi hoàn toàn dòng máu sau sinh.
Cơ chế bệnh: Vì sao trẻ sẽ tím ngay sau sinh?

Trong tim bình thường:
- Thất phải bơm máu nghèo oxy lên phổi
- Thất trái bơm máu giàu oxy đi nuôi cơ thể
Trong chuyển vị đại động mạch:
- Máu nghèo oxy từ thất phải đi thẳng ra cơ thể
- Máu giàu oxy từ phổi quay trở lại phổi
Hai vòng tuần hoàn tách biệt và không trao đổi oxy hiệu quả.
Trong thai kỳ, em bé vẫn sống được vì còn:
- Lỗ bầu dục
- Ống động mạch
Hai cấu trúc này cho phép máu trộn lẫn.
Sau sinh, nếu ống động mạch đóng và lỗ bầu dục hạn chế, trẻ sẽ tím nặng và suy hô hấp rất nhanh.
Vì sao chuyển vị đại động mạch dễ bị bỏ sót trên siêu âm?
Ở nhiều nơi, siêu âm tim thai chủ yếu đánh giá mặt cắt 4 buồng. Tuy nhiên, trong chuyển vị đại động mạch, mặt cắt này thường gần như bình thường.
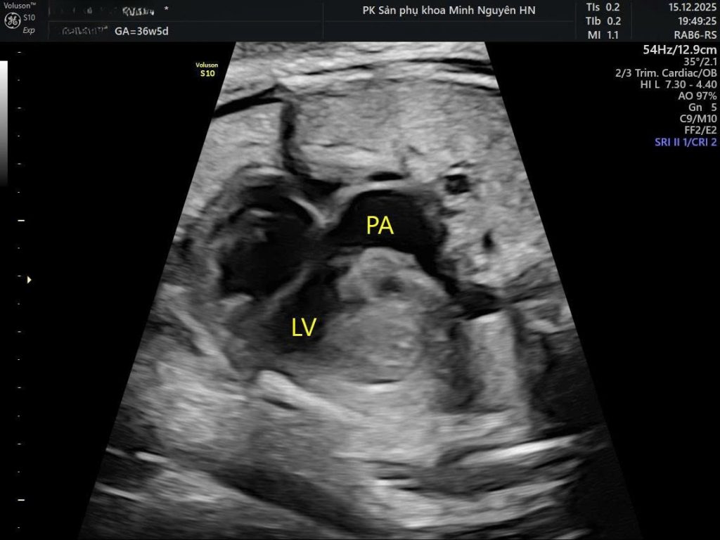
Dấu hiệu quyết định nằm ở:
- Mặt cắt đường ra hai thất
- Mặt cắt ba mạch máu và khí quản
Bình thường sẽ thấy hai đại động mạch bắt chéo nhau (X-sign).
Trong TGA sẽ thấy hai mạch chạy song song (I-sign).
Nếu không khảo sát tầng đại động mạch, dị tật này có thể bị bỏ sót.
Chuyển vị đại động mạch có liên quan di truyền không?
Phần lớn trường hợp là đơn độc và không liên quan bất thường nhiễm sắc thể.
Nếu siêu âm hình thái toàn thân bình thường và sàng lọc trước sinh nguy cơ thấp, khả năng liên quan di truyền là thấp.
Trong trường hợp có bất thường phối hợp, có thể cân nhắc chọc ối làm karyotype hoặc microarray để đánh giá thêm. Xét nghiệm gen sâu như WES không phải chỉ định thường quy cho TGA đơn độc.
Sau khi chẩn đoán, cần chuẩn bị gì?
Điều quan trọng nhất là kế hoạch sinh.
Thai phụ nên sinh tại cơ sở có:
- Hồi sức sơ sinh
- Can thiệp tim mạch nhi
- Phẫu thuật tim bẩm sinh
Ngay sau sinh:
- Trẻ được truyền Prostaglandin để giữ ống động mạch mở
- Nếu lỗ bầu dục đóng sớm hoặc quá nhỏ, bác sĩ có thể thực hiện phá vách liên nhĩ bằng bóng (thủ thuật Rashkind) để tăng trộn máu
Sau đó, phẫu thuật chuyển gốc động mạch (Arterial Switch Operation) sẽ được thực hiện trong những tuần đầu đời. Đây là phẫu thuật đưa hai đại động mạch về đúng vị trí sinh lý ban đầu.
Tiên lượng hiện nay

Với phẫu thuật chuyển gốc hiện đại, cấu trúc và chức năng tim của trẻ có thể trở lại gần như bình thường.
Phần lớn trẻ sau mổ có thể:
- Phát triển thể chất tốt
- Đi học bình thường
- Sinh hoạt gần như trẻ khỏe mạnh
Yếu tố quyết định tiên lượng là phát hiện sớm và chuẩn bị sinh đúng nơi.
Kết luận
Chuyển vị đại động mạch là gì? Đó là dị tật tim bẩm sinh trong đó hai đại động mạch bị đảo vị trí, làm hai vòng tuần hoàn tách biệt sau sinh.
Đây là bệnh tim bẩm sinh nặng nếu không được can thiệp kịp thời, nhưng có thể phẫu thuật sửa chữa hoàn toàn nếu phát hiện trước sinh và chuẩn bị đúng kế hoạch.
Trong chăm sóc thai kỳ, việc khảo sát đầy đủ tầng đại động mạch trên siêu âm tim thai là yếu tố then chốt giúp em bé có cơ hội điều trị ngay từ những giờ đầu đời.
Tham khảo thêm bài viết khác tại đây.
Ấn vào link để nhận bản thảo quyển sách “Thai kỳ khoẻ manh” dài hơn 200 trang do bác sỹ Tú biên soạn ngay các mẹ nhé

