Câu chuyện của chị H. ở tuần thai 22
Chị H. mang thai 22 tuần đến khám lại vì siêu âm tuyến dưới nghi ngờ chuyển vị đại động mạch. Điều khiến chị bối rối là các lần khám trước đều ghi nhận tim 4 buồng cân đối, không hở van, không thông liên thất.
Chị hỏi:
“Tim con nhìn bình thường sao lại nói bị dị tật nặng?”
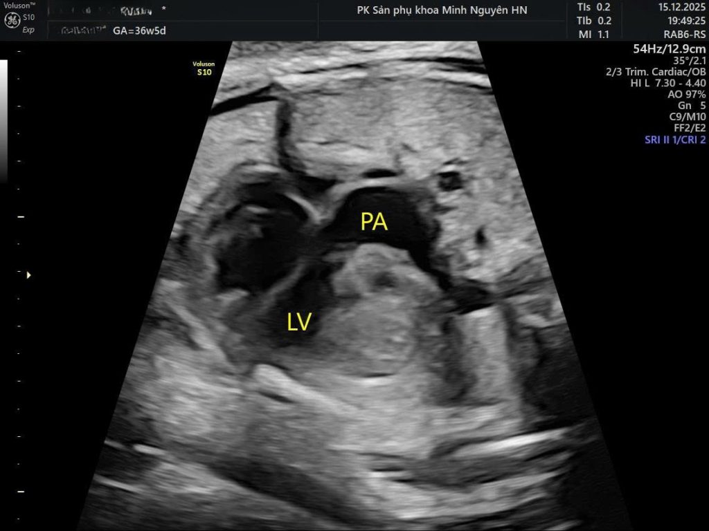
Khi siêu âm lại đầy đủ các mặt cắt tim thai, mặt cắt 4 buồng vẫn bình thường. Nhưng khi khảo sát tầng đại động mạch, hai mạch máu lớn không bắt chéo nhau như hình chữ X mà chạy song song như hai đường thẳng, tạo hình ảnh giống chữ I.
Đó là dấu hiệu điển hình của đảo gốc động mạch, thể thường gặp nhất là d-TGA.
Chuyển vị đại động mạch là gì?
Chuyển vị đại động mạch là dị tật tim bẩm sinh trong đó:
- Động mạch chủ xuất phát từ thất phải
- Động mạch phổi xuất phát từ thất trái
Trong tim bình thường, hai đại động mạch bắt chéo nhau. Khi bị chuyển vị, chúng chạy song song và nối sai buồng thất.
Hậu quả là hai vòng tuần hoàn tách biệt nhau:
- Máu nghèo oxy tiếp tục đi nuôi cơ thể
- Máu giàu oxy quay lại phổi
Nếu không có đường trộn máu, trẻ sẽ tím nặng ngay sau sinh.
Vì sao chuyển vị đại động mạch dễ bị bỏ sót trên siêu âm?

Đây là điểm rất quan trọng.
Ở chuyển vị đại động mạch, mặt cắt 4 buồng tim thường gần như bình thường. Nếu chỉ dừng lại ở mặt cắt này, dị tật có thể bị bỏ sót.
Dấu hiệu quyết định nằm ở:
- Mặt cắt hai đường ra thất
- Mặt cắt ba mạch máu và khí quản
- Hình ảnh hai đại động mạch chạy song song (I-sign) thay vì bắt chéo (X-sign)
Vì vậy, siêu âm tim thai phải khảo sát đầy đủ tầng đại động mạch, không chỉ dừng ở hình ảnh 4 buồng.
Sau sinh, điều gì sẽ xảy ra?
Trong bụng mẹ, thai vẫn sống được vì có:
- Lỗ bầu dục
- Ống động mạch
- Có thể có thông liên thất
Những cấu trúc này cho phép máu trộn lẫn.
Sau sinh, khi ống động mạch bắt đầu đóng lại, hai hệ tuần hoàn tách biệt hoàn toàn. Trẻ có thể tím nhanh và suy hô hấp nếu không được can thiệp.
Kế hoạch xử trí khi phát hiện chuyển vị đại động mạch
Phát hiện trước sinh giúp thay đổi hoàn toàn tiên lượng.
1. Lên kế hoạch sinh tại trung tâm có tim mạch nhi
Thai phụ cần sinh tại nơi có:
- Hồi sức sơ sinh
- Can thiệp tim mạch nhi
- Phẫu thuật tim bẩm sinh
Điều này quan trọng hơn cả việc lo lắng về chẩn đoán.
2. Can thiệp ngay sau sinh
Trẻ thường được:
- Truyền Prostaglandin để giữ ống động mạch mở
- Nếu lỗ bầu dục hạn chế, thực hiện phá vách liên nhĩ bằng bóng (thủ thuật Rashkind) để tăng trộn máu
Đây là thủ thuật cứu mạng trong những giờ đầu đời.
3. Phẫu thuật chuyển gốc động mạch
Phẫu thuật Arterial Switch thường được thực hiện trong 2–4 tuần đầu sau sinh.
Bác sĩ sẽ cắt và nối lại hai đại động mạch về đúng vị trí sinh lý.
Nếu phẫu thuật thành công, cấu trúc tuần hoàn trở lại gần như bình thường.
Chuyển vị đại động mạch có liên quan di truyền không?

Phần lớn trường hợp là đơn độc.
Nếu siêu âm không phát hiện bất thường cấu trúc khác và sàng lọc di truyền trước đó nguy cơ thấp, khả năng liên quan nhiễm sắc thể là thấp.
Trong một số trường hợp, có thể cân nhắc chọc ối làm karyotype hoặc microarray để đánh giá thêm, đặc biệt khi có bất thường phối hợp.
Whole Exome Sequencing không phải chỉ định thường quy cho chuyển vị đại động mạch đơn độc.
Tiên lượng dài hạn
Với phẫu thuật hiện đại, trẻ mắc chuyển vị đại động mạch có thể:
- Phát triển thể chất bình thường
- Đi học và sinh hoạt như trẻ khỏe mạnh
- Không cần điều trị thuốc suốt đời trong đa số trường hợp
Yếu tố quyết định tiên lượng là:
- Phát hiện trước sinh
- Sinh đúng nơi
- Can thiệp đúng thời điểm
Kết luận
Chuyển vị đại động mạch là dị tật tim bẩm sinh nặng nếu không được can thiệp. Tuy nhiên, đây là bệnh có thể sửa chữa hoàn toàn bằng phẫu thuật hiện đại.
Điều quan trọng không phải là mặt cắt 4 buồng có bình thường hay không, mà là khảo sát đầy đủ hai đại động mạch.
Phát hiện sớm trong thai kỳ giúp gia đình chủ động kế hoạch sinh và giúp em bé có cơ hội điều trị kịp thời ngay từ những giờ đầu đời.
Tham khảo thêm tại đây.
Ấn vào link để nhận bản thảo quyển sách “Thai kỳ khoẻ manh” dài hơn 200 trang do bác sỹ Tú biên soạn ngay các mẹ nhé!

