Bệnh tim Ebstein là một dị tật tim bẩm sinh hiếm gặp nhưng có thể gây ảnh hưởng nặng nề đến tuần hoàn của trẻ ngay từ trong bụng mẹ hoặc sau sinh. Điểm đặc trưng của bệnh tim Ebstein là bất thường van ba lá và cấu trúc thất phải, làm thay đổi hoàn toàn cách máu lưu thông trong tim. Mức độ biểu hiện rất khác nhau, từ thai nhi phù thai nặng đến người trưởng thành gần như không có triệu chứng.
Bài viết này giúp bạn hiểu rõ bản chất giải phẫu của bệnh tim Ebstein, dấu hiệu phát hiện trên siêu âm tim thai, biểu hiện sau sinh và hướng theo dõi điều trị.
Câu chuyện từ phòng khám
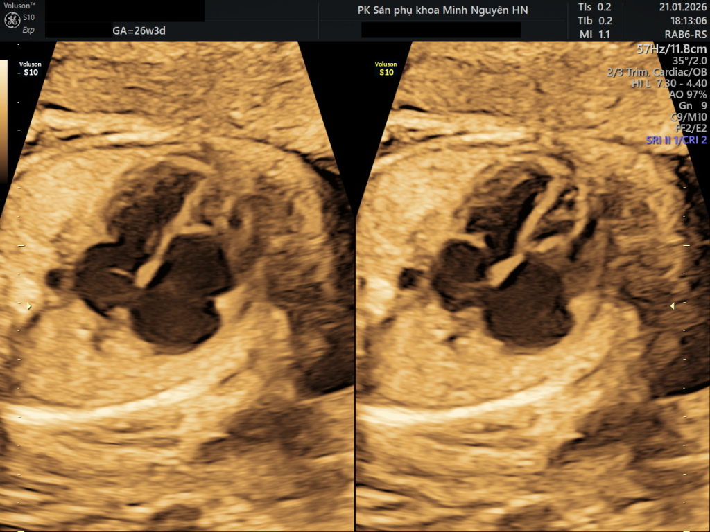
Chị M. đến khám ở tuần thai 24 vì siêu âm tuyến trước ghi nhận tim thai to và nghi ngờ hở van ba lá nhiều. Hồ sơ chị mang theo gồm kết quả siêu âm hình thái tuần 22, hình ảnh Doppler màu và giấy tờ khám thai định kỳ.
Trên siêu âm tim thai chuyên sâu, hình ảnh bốn buồng tim cho thấy lá van ba lá bám thấp xuống phía mỏm tim so với vị trí bình thường. Nhĩ phải giãn lớn, thất phải phần chức năng nhỏ lại. Doppler màu cho thấy dòng hở van ba lá mạnh. Không có dấu hiệu phù thai tại thời điểm đó.
Chị lo lắng nhất một câu hỏi: Con có sống được không.
Điều quan trọng trong trường hợp này là phân tích kỹ mức độ lệch vị trí van. Đánh giá kích thước thất phải chức năng, tìm các bất thường phối hợp và theo dõi diễn tiến huyết động theo thời gian. Không phải mọi trường hợp bệnh tim Ebstein đều có tiên lượng giống nhau.

Bệnh tim Ebstein là gì và vì sao van ba lá lại lệch vị trí
Bệnh tim Ebstein là dị tật bẩm sinh của van ba lá. Hai lá van sau và vách không tách hoàn toàn khỏi cơ tim thất phải trong quá trình phát triển phôi thai. Hệ quả là điểm bám của van bị kéo xuống phía mỏm tim.
Điểm chẩn đoán đặc trưng là sự lệch xuống của van ba lá phần vách so với vị trí bám của lá van hai lá ở phía đối diện.
Sự lệch này chia thất phải thành hai phần. Phần trên bị gọi là thất phải nhĩ hóa, gần như mất chức năng bơm máu. Phần dưới là thất phải chức năng nhưng có thể rất nhỏ. Van ba lá hầu hết bị hở ở mức độ khác nhau, thường là nặng.
Khi van hở nhiều, máu từ thất phải trào ngược về nhĩ phải, làm nhĩ phải giãn to và áp lực tăng. Nếu có lỗ thông liên nhĩ, máu có thể đi từ phải sang trái gây tím.
Vì sao bệnh tim Ebstein có thể biểu hiện từ thai kỳ
Ở thai nhi, nếu hở van ba lá nặng và tim to nhiều, có thể xuất hiện phù thai, tràn dịch màng tim . Trường hợp nặng có thể ảnh hưởng đến phát triển phổi do tim to chèn ép.
Siêu âm tim thai là phương tiện chẩn đoán chính. Mặt cắt bốn buồng tim cho thấy lá van ba lá bám thấp hơn bình thường. Doppler màu giúp đánh giá mức độ hở van. Cần theo dõi kích thước tim, chức năng thất phải và tình trạng phù thai định kỳ.
Trong thực hành y học bào thai, việc phân tầng nguy cơ dựa vào mức độ tim to, chức năng thất trái, có hẹp hoặc teo van động mạch phổi đi kèm hay không.
Trẻ sơ sinh mắc bệnh tim Ebstein có biểu hiện gì
Biểu hiện lâm sàng phụ thuộc mức độ bất thường giải phẫu.
Ở trẻ sơ sinh nặng, có thể tím ngay sau sinh do dòng máu phải sang trái qua lỗ thông liên nhĩ. Có thể có suy tim, thở nhanh, gan to. Trên X quang có thể thấy tim to nhiều.
Ở trẻ lớn hơn hoặc người trưởng thành, triệu chứng thường gặp là hồi hộp. Rối loạn nhịp tim hoặc khó thở khi gắng sức. Một số trường hợp được phát hiện tình cờ khi nghe tim có tiếng thổi.
Khoảng 20 đến 30 phần trăm bệnh nhân có rối loạn nhịp nhĩ. Nhiều trường hợp có đường dẫn truyền phụ gây hội chứng tiền kích thích.
Bệnh tim Ebstein có thường đi kèm dị tật khác không
Có. Dị tật thường gặp nhất là thông liên nhĩ hoặc lỗ bầu dục còn tồn tại. Sự thông này làm tăng nguy cơ tím và tắc mạch nghịch thường.
Có thể gặp thông liên thất, còn ống động mạch, hẹp hoặc teo đường ra thất phải. Một số bệnh nhân có sa van hai lá hoặc van động mạch chủ hai lá.
Sự phối hợp dị tật làm thay đổi tiên lượng và chiến lược điều trị.
Làm sao chẩn đoán xác định bệnh tim Ebstein trước sinh
Siêu âm tim trước sinh là phương tiện chẩn đoán chính. Mặt cắt bốn buồng tim cho phép đo khoảng cách lệch của lá van vách. Doppler màu đánh giá mức độ hở van.
Khi chẩn đoán ra bệnh lý, các bác sỹ y học bào thai hoặc bác sỹ sản khoa sẽ gửi khách hàng đến bác sỹ tim mạch sơ sinh để đánh giá tình trạng của tim thai. Vì bác sỹ tim mạch có nhiều kinh nghiệm trong việc phẫu thuật và can thiệp sau sinh. Từ đó, có hướng rõ ràng hơn cho các thai phụ và gia đình
Khi nào cần can thiệp điều trị
Điều trị phụ thuộc triệu chứng và mức độ rối loạn huyết động.
Ở trẻ sơ sinh nặng, có thể cần hỗ trợ hô hấp, thuốc trợ tim. Và cân nhắc phẫu thuật sớm nếu có shunt vòng tròn hoặc teo van động mạch phổi.
Ở trẻ lớn và người trưởng thành, phẫu thuật sửa hoặc thay van ba lá được chỉ định khi có suy tim tiến triển, hở van nặng kèm giãn thất phải hoặc rối loạn nhịp khó kiểm soát.
Can thiệp điện sinh lý có thể cần thiết nếu có đường dẫn truyền phụ gây rối loạn nhịp.
Tiên lượng bệnh tim Ebstein như thế nào
Tiên lượng rất thay đổi.
Trường hợp nhẹ có thể sống đến tuổi trưởng thành mà không cần phẫu thuật. Trường hợp nặng có thể tử vong sớm nếu không được can thiệp.
Yếu tố tiên lượng xấu bao gồm tim to nhiều từ bào thai, shunt vòng tròn, teo van động mạch phổi và suy chức năng thất trái.
Theo dõi lâu dài là bắt buộc vì rối loạn nhịp có thể xuất hiện muộn ngay cả sau phẫu thuật.
Theo dõi dài hạn và những điều gia đình cần lưu ý
Trẻ và người lớn mắc bệnh tim Ebstein cần được theo dõi định kỳ bởi chuyên gia tim bẩm sinh.
Cần đánh giá định kỳ chức năng thất phải, mức độ hở van ba lá, tình trạng thông liên nhĩ và nguy cơ rối loạn nhịp.
Test gắng sức có thể giúp đánh giá khả năng vận động và tình trạng giảm oxy khi vận động.
Ở phụ nữ mang thai mắc bệnh tim Ebstein. Cần đánh giá kỹ trước và trong thai kỳ vì tăng thể tích tuần hoàn có thể làm nặng hở van.
Kết luận
Bệnh tim Ebstein là dị tật bẩm sinh của van ba lá với biểu hiện rất đa dạng. Chẩn đoán dựa trên hình ảnh lệch vị trí lá van và đánh giá mức độ hở van, chức năng thất phải.
Phát hiện sớm từ giai đoạn bào thai giúp tiên lượng và chuẩn bị kế hoạch chăm sóc sau sinh. Theo dõi lâu dài là cần thiết vì bệnh có thể tiến triển hoặc xuất hiện rối loạn nhịp về sau.
Hiểu rõ bản chất giải phẫu và cơ chế huyết động của bệnh tim Ebstein giúp gia đình và thầy thuốc đưa ra quyết định phù hợp, dựa trên mức độ cụ thể của từng trường hợp.
Trong thực hành, điều khó nhất không phải là nhìn thấy một dấu hiệu trên màn hình siêu âm. Mà là giải thích nó đúng ngữ cảnh và dẫn dắt gia đình đi qua các mốc quyết định mà không bỏ lỡ thời gian quý của thai kỳ. Đây cũng là phần việc mà phòng khám Dr Tú y học bào thai tập trung thực hiện trong nhiều năm. Dựa trên kinh nghiệm lâm sàng hơn 20 năm của Ths. Bs Nguyễn Ngọc Tú. Đọc lại kết luận trong bối cảnh tuổi thai, phân biệt sàng lọc và chẩn đoán. Và xây bước tiếp theo rõ ràng để gia đình chuẩn bị cho giai đoạn trước sinh và sau sinh.
Ấn vào link để nhận bản thảo quyển sách “Thai kỳ khoẻ manh” dài hơn 200 trang do bác sỹ Tú biên soạn ngay các mẹ nhé

